Chuyển đến nội dung chính

Trồng Răng Implant Giá Rẻ Có Thực Sự An Toàn Không?

Cấy ghép implant là phương pháp giúp cho bệnh nhân phục hình lại chiếc răng bị mất, đảm bảo về tính thẩm mỹ và có thể ăn nhai tốt hơn. Đây cũng là dịch vụ nha khoa cao cấp hàng đầu hiện nay đòi hỏi công nghệ hiện đại, đồng thời các bác sĩ cũng cần có trình độ chuyên môn cao, kinh nghiệm dày dặn. Tuy nhiên, hiện nay không ít nơi đang quảng cáo rầm rộ dịch vụ trồng răng implant giá rẻ với mức chi phí làm nhiều người giật mình. Vậy thực tế có đảm bảo an toàn cho người bệnh không?

Những vấn đề rủi ro có thể gặp phải khi trồng răng implant giá rẻ

Trồng răng implant là một dịch vụ nha khoa phục hình cho những chiếc răng bị mất, gãy rụng. Đây đang là phương pháp được đông đảo khách hàng lựa chọn bởi tính an toàn và hiệu quả cao. Chính vì vậy, cấy ghép implant sẽ không gây ảnh hưởng đến những răng lân cận, hay gây ra các vấn đề khác về răng miệng. Đồng thời bạn hoàn toàn có thể sử dụng nó với chức năng như một chiếc răng thật.

Cấu tạo hoàn chỉnh của một chiếc răng implant có 3 phần là khớp nối trụ, abutment và răng sứ với nhiều loại khác nhau. Tuy nhiên gần như tất cả chúng đều được nhập khẩu từ các quốc gia phát triển gồm Nhật Bản, Hàn Quốc, Mỹ, hay các nước Châu Âu khác,… Vì vậy giá thành của dịch vụ sẽ có sự chênh lệch, nhưng được đánh giá mặt bằng chung là khá cao.

Nhìn chung, cấy ghép implant là dịch vụ nha khoa khá phức tạp, vì vậy nếu bạn chọn trồng răng implant giá rẻ tại các cơ sở nha khoa không đảm bảo có thể kéo theo rất nhiều hậu quả khôn lường. Cụ thể một số rủi ro bạn có thể gặp phải khi sử dụng dịch vụ này không đúng cách và không chất lượng là:

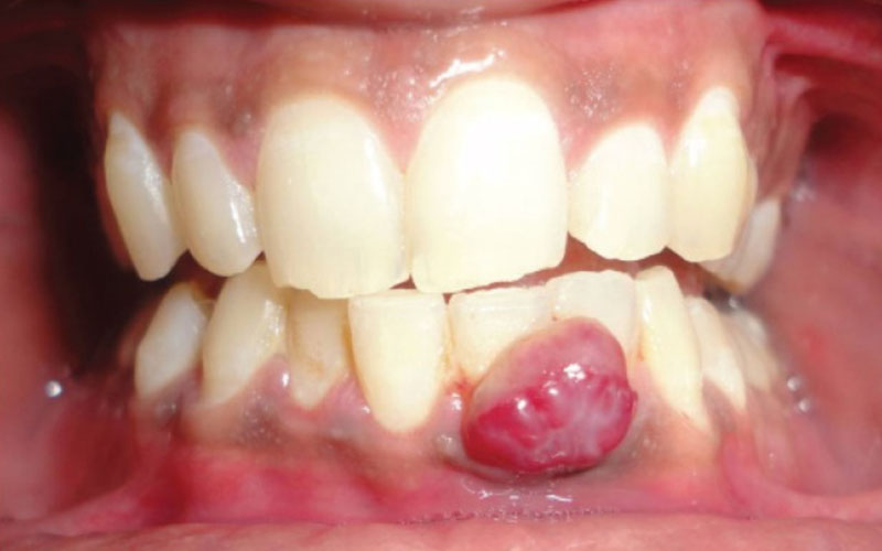
Trồng răng Implant giá rẻ nguy cơ gây ra các bệnh lý răng miệng

Đây là tình trạng rất nhiều người bệnh gặp phải sau khi thực hiện trồng răng implant hoặc phục hình răng. Bên cạnh những vấn đề liên quan đến chất liệu, quy trình trồng răng sứ thì yếu tố vô trùng cần phải được chú ý và đảm bảo vì nó có thể gây ra những nguy hiểm tiềm ẩn với sức khỏe

Trồng răng Implant giá rẻ nguy cơ gây ra các bệnh lý răng miệng
Trồng răng Implant giá rẻ nguy cơ gây ra các bệnh lý răng miệng

Chân răng implant nếu bị chảy máu lâu ngày có thể dẫn tới nhiễm trùng và sưng đau. Hơn nữa, nếu không xử lý nó có thể gây ra tình trạng viêm quanh răng, hay viêm nha chu. Chính vì vậy, rất nhiều trường hợp bệnh nhân sau khi bị bệnh về răng miệng đã phải rút bỏ trụ implant.

TÌM HIỂU NGAY:

Sử dụng loại trụ Implant không rõ nguồn gốc

Những đơn vị sản xuất trụ implant chính hãng sẽ được công nhận và đảm bảo chất lượng bởi Bộ Y tế. Tuy nhiên hiện nay có khá ít đơn vị đủ điều kiện để thực hiện. Chính vì vậy, trên thị trường xuất hiện ngày càng nhiều những sản phẩm trụ implant không rõ nguồn gốc, xuất xứ, không được kiểm định về chất lượng nên mức giá bán thường khá rẻ. Song nếu cấy ghép những loại trụ này vào xương hàm có thể gây ra rất nhiều nguy hại trực tiếp ảnh hưởng đến sức khỏe người bệnh.

Chuyên môn bác sĩ không đảm bảo và đáp ứng được yêu cầu

Phương pháp trồng răng implant là một loại phẫu thuật nha khoa đòi hỏi kỹ thuật cao và quá trình thực hiện khá phức tạp. Chính vì vậy, phẫu thuật này yêu cầu các bác sĩ phải có trình độ chuyên môn cao thì mới giúp việc trồng răng thành công và đạt được kết quả tốt nhất. Tuy nhiên, phần lớn những ca cấy ghép giá rẻ được thực hiện bởi đội ngũ bác sĩ không có kinh nghiệm, tay nghề còn non kém. Còn với những nha sĩ có trình độ chuyên môn giỏi, chi phí phải từ 15 triệu đồng/1 răng trở lên.

Trồng răng implant giá rẻ làm tích hợp xương kém

Để tuổi thọ của trụ răng implant được diễn ra lâu dài và suốt đời thì nó phải tích hợp với xương hàm để tạo thành một chân răng mới tốt nhất, hoạt động tương tự như chân răng tự nhiên. Còn nếu trồng implant giá rẻ, hay sử dụng vật liệu không chính hãng và tay nghề của các bác sĩ không cao, việc tích hợp sẽ kém hơn và kéo dài trong thời gian lâu hơn. Điều này sẽ làm giảm tuổi thọ của implant.

HÃY XEM NGAY: Các Ưu Nhược Điểm Của Trồng Răng Implant [Có Thể Bạn Chưa Biết]

Trụ implant không có sự tương thích sinh học

Chất liệu chính được sử dụng để làm trụ implant thường là titanium. Đây là loại kim loại được đánh giá an toàn tuyệt đối với cơ thể và không gây ra bất kỳ kích ứng hay độc hại nào cho sức khỏe. Hơn nữa, nó đã được Bộ Y tế cấp phép trở thành thiết bị có thể cấy ghép vào cơ thể, đảm bảo an toàn và không lo bị đào thải.

Với loại titanium chính hãng sẽ không bị nhiễm từ, có khả năng phi từ tính, với độ bền cao và khả năng chịu lực khỏe hơn so với sắt. Trong trường hợp trồng răng implant giá rẻ sẽ sử dụng nguyên liệu không rõ xuất xứ, nguồn gốc, từ đó khả năng tương thích về mặt sinh học diễn ra kém. Chính vì vậy, một thời gian ngắn sau implant sẽ bị đào thải.

Làm cách nào để giảm chi phí trồng răng implant?

Nếu bạn search google từ khóa trồng răng implant rất nhiều thông tin sẽ được hiện ra. Đồng thời sau khi tìm hiểu một chút, newfeed facebook sẽ xuất hiện hàng loạt quảng cáo về trồng răng implant với nhiều mức giá khác nhau. Trồng răng sứ bao nhiêu tiền 1 chiếc, được biết, trung bình khi thực hiện cấy ghép implant, người bệnh cần chi trả khoảng 15 triệu đồng/1 răng đối với trụ bình thường. Tuy nhiên, khá nhiều nha khoa lại quảng cáo chi phí trồng răng implant giá rẻ nhất với mức chi phí thấp hơn rất nhiều lần, có thể chỉ khoảng 10 triệu đồng hoặc 12 triệu đồng/1 trụ. Thậm chí nhiều nha khoa báo giá là 6 triệu đồng/trụ đã bao gồm cả phục hình răng sứ.

Đứng trước sự nhiễu loạn về giá cả này, phần lớn người bệnh đều vô cùng hoang mang, lo lắng. Theo đó, để đảm bảo tiết kiệm chi phí mà vẫn an toàn, bạn cần chú ý lựa chọn địa chỉ nha khoa uy tín, chất lượng. Đồng thời, dù giá dịch vụ trồng răng implant không hề thấp, nhưng bạn hoàn toàn có thể giảm giá thành bằng các cách sau:

Cách giảm chi phí trồng răng implant
Cách giảm chi phí trồng răng implant
  • Thời điểm trồng răng Implant: Theo các chuyên gia, thời điểm trồng răng lý tưởng nhất là khoảng thời gian sau khi mất răng 3 tháng. Bởi vào lúc này, chỗ răng gãy, xương hàm đã phát triển đủ, vì vậy bạn không cần chịu thêm chi phí để cấy ghép xương hàm nhân tạo. Còn đối với những trường hợp răng bị gãy lâu năm không trồng lại có thể đã bị tiêu xương hàm, vì vậy bạn bắt buộc phải bỏ thêm từ 5 – 10 triệu đồng/răng để gắn xương hàm nhân tạo.

    TÌM HIỂU CHI TIẾT: Trồng Răng Implant Mất Bao Lâu Để Hoàn Thành?

  • Cấy ít trụ implant: Trường hợp cấy ít trụ implant áp dụng trong điều kiện người bệnh bị mất nhiều răng liền kề nhau, đồng thời vùng xương hàm còn tốt và chắc khỏe. Cụ thể, bác sĩ chỉ cần cắm thêm 2 trụ implant to và sử dụng tính chất bắc cầu để nâng toàn bộ cầu răng giả phía trên. Mặc dù vậy, không phải ai cũng có thể áp dụng thành công với cách làm này.
  • Lựa chọn răng sứ và abutment theo nhu cầu: Hiện nay có hai loại răng sứ được sử dụng phổ biến trong cấy ghép implant là răng sứ kim loại và răng sứ toàn sứ. Trong trường hợp khách hàng muốn chi phí rẻ hơn có thể tham khảo sử dụng răng sứ kim loại. Tương tự, abutment cũng có hai loại với hai mức giá khác nhau, cụ thể abutment cá nhân hóa (được chế tác riêng theo đặc điểm răng từng người) và abutment làm sẵn (sản xuất đồng thời với số lượng lớn, kích thước như nhau).

Mức giá phù hợp cho phương pháp trồng răng implant

Mức giá trồng răng implant có thể thay đổi phụ thuộc vào các yếu tố dưới đây:

  • Cơ sở tiến hành dịch vụ cấy ghép.
  • Bác sĩ thực hiện chính.
  • Loại abutment và răng sứ.
  • Các loại máy móc và trang thiết bị kỹ thuật hiện đại.

Theo đó, trung bình trồng răng implant giá rẻ sẽ rơi vào khoảng 15 triệu đồng đến 30 triệu đồng/1 răng. Trong đó riêng chi phí cho abutment là khoảng 4 triệu đồng. Đây đã là mức phí thấp và tiết kiệm nhất cho một dịch vụ cấy ghép implant. Các bạn có thể tham khảo mức giá này, từ đó chủ động hơn trong việc lựa chọn nha khoa thực hiện uy tín và đảm bảo chất lượng.

Mong rằng những thông tin chúng tôi chia sẻ trên đây đã giúp người đọc giải đáp băn khoăn có nên trồng răng implant giá rẻ không. Đồng thời qua bài viết này, các bạn đã có cái nhìn khách quan hơn về dịch vụ nha khoa này, từ đó đưa ra được những quyết định chính xác. Ngoài ra, nếu cần hỗ trợ thêm bất kỳ vấn đề nào khác liên quan, bạn hãy để lại lời nhắn ngay phía dưới đây.

NHIỀU NGƯỜI QUAN TÂM: Trồng Răng Implant Có Đau Không? Các Yếu Tố Ảnh Hưởng

Bài viết Trồng Răng Implant Giá Rẻ Có Thực Sự An Toàn Không? đã xuất hiện đầu tiên vào ngày ViDental Clinic.



from ViDental Clinic https://videntalclinic.com/trong-rang-implant-gia-re-4257.html
via IFTTT

Nhận xét

Bài đăng phổ biến từ blog này

Sau Sinh Bao Lâu Thì Trồng Răng Được?

Phụ nữ sau sinh thường đối mặt với nhiều vấn đề về sức khỏe, bao gồm cả răng miệng. Việc mất răng hoặc gặp các vấn đề răng miệng không chỉ ảnh hưởng đến sức khỏe mà còn tác động đến sự tự tin và khả năng ăn nhai. Tuy nhiên, liệu sau sinh bao lâu thì trồng răng được là thời điểm hợp lý và an toàn? Câu trả lời phụ thuộc vào nhiều yếu tố, từ sức khỏe của mẹ đến phương pháp trồng răng phù hợp. Vì Sao Cần Trồng Răng Sau Sinh? Trồng răng sau sinh không chỉ là giải pháp thẩm mỹ mà còn giúp cải thiện sức khỏe tổng thể. Mất răng kéo dài có thể gây ra nhiều vấn đề, chẳng hạn như: Khó khăn khi ăn nhai: Thiếu răng khiến việc ăn uống trở nên khó khăn, ảnh hưởng đến quá trình hấp thụ dinh dưỡng. Thẩm mỹ khuôn mặt: Mất răng lâu ngày có thể làm tiêu xương hàm, khiến khuôn mặt bị hóp và già hơn. Ảnh hưởng tâm lý: Việc thiếu răng có thể khiến mẹ mất tự tin trong giao tiếp hàng ngày. Đặc biệt, nếu không khắc phục kịp thời, tình trạng mất răng có thể gây ra các vấn đề nghiêm trọng hơn như tiê...

Bọc Răng Sứ Điều Trị Tủy Giá Bao Nhiêu? Thông Tin Liên Quan

Bọc răng sứ điều trị tủy giúp bảo vệ và phục hồi chức năng cũng như thẩm mỹ cho răng, ngăn ngừa mất răng vĩnh viễn [ 1 ]. Những trường hợp cần bọc sứ sau khi lấy tủy là: Răng sâu quá nặng, răng bị chấn thương, gãy vỡ, viêm nhiễm tủy kéo dài, răng chết tủy, mất 1 phần mô răng. Chi phí bọc răng sứ khoảng 2.500.000 – 9.000.000 VNĐ/răng [ 2 ]. Tuổi thọ của răng sứ phụ thuộc vào chất liệu sử dụng, tình trạng răng miệng, tay nghề của bác sĩ và cách chăm sóc tại nhà, với răng sứ kim loại từ 5 – 10 năm và răng sứ toàn sứ từ 15 – 25 năm [ 3 ]. Bọc răng sứ điều trị tủy có sự hỗ trợ của thuốc tê nên không bị đau nhức.  Tại sao cần bọc răng sứ sau khi điều trị tủy? Răng sau khi điều trị tủy thường trở nên yếu và dễ bị tổn thương hơn so với răng khỏe mạnh. Lý do là bởi khi phần tủy bị loại bỏ, răng trở nên giòn hơn và dễ vỡ do mất đi sự cung cấp dưỡng chất từ tủy. Quá trình bọc răng sứ điều trị tủy mang đến nhiều lợi ích như: Việc bọc răng sứ đóng vai trò như một lớp áo bảo vệ, gi...

Bọc Răng Sứ: Quy Trình, Bảng Giá Và Những Điều Cần Lưu Ý

Bọc răng sứ là một phương pháp phục hình răng thông qua việc đặt một lớp vỏ răng sứ lên răng tự nhiên đã bị hư hỏng, sứt mẻ, xỉn màu, hay hình dạng không đều. Phương pháp này không chỉ giúp khắc phục chức năng ăn nhai mà còn cải thiện tính thẩm mỹ của nụ cười, giúp người dùng tự tin hơn trong giao tiếp. Trong bài viết này, chúng ta đã tìm hiểu về ưu nhược điểm, quy trình thực hiện, chi phí và một số thông tin liên quan đến bọc răng sứ. Bọc răng sứ là gì? Các loại răng sứ Bọc răng sứ là một phương pháp thẩm mỹ để phục hình răng bị hư hỏng, sứt mẻ, xỉn màu, khấp khểnh hoặc không đều. Phương pháp này bao gồm việc đặt một lớp vỏ răng sứ chế tạo lên răng tự nhiên. Có nhiều loại mão răng sứ được sử dụng trong quá trình bọc răng sứ, như mão sứ toàn sứ và mão sứ kim loại. Mão sứ toàn sứ là loại mão răng sứ đánh giá cao về tính thẩm mỹ, độ bền và khả năng chịu lực. Với khả năng tái tạo màu sắc và độ thấu quang giống như men răng thật, mão sứ toàn sứ mang lại một nụ cười tự nhiên và hài hòa. Mã...